Připojte se k naší komunitě a tvořte obsah, který pomáhá ostatním
Hemoptýza

Definice

–    Vykašlávání krve z dolních dýchacích cest

–    Vzácný, ale závažný příznak u pediatrických pacientů

–    Může se jednat o mírné, samovolně odeznívající epizody až po život ohrožující plicní krvácení vyžadující urgentní zásah.

–    Mnohem méně časté než u dospělých

–    Často je známkou závažného základního onemocnění, včetně infekcí, vrozených vad, cévních malformací nebo autoimunitních onemocnění

Hemoptýza v pediatrické revmatologii

Akutní vs. chronická hemoptýza

Akutní hemoptýza

–    Náhlý nástup, obvykle trvající hodiny až dny

–    Často spojena s akutním zánětem nebo náhlým zhoršením základního onemocnění

–    U dětí je častěji závažná a rychle progredující, zejména u plicně-renálních syndromů

–    Příčiny

o   Difúzní alveolární krvácení (DAH): Závažný projev systémového lupus erythematodes (SLE), ANCA-asociované vaskulitidy (AAV) a Goodpastureova syndromu (GPS)

o   IgA vaskulitida (dříve Henoch-Schönleinova purpura): Extrémně vzácná příčina plicního krvácení, ale může být spojena s těžkým postižením ledvin

o   Akutní vzplanutí ANCA asociované vaskulitidy (AAV) nebo lupusové pneumonitidy.

Chronická hemoptýza

–    Přetrvávající nebo opakující se krvavé vykašlávání po dobu týdnů až měsíců

–    Pravděpodobněji způsobeno chronickým zánětlivým onemocněním plic, opakovaným alveolárním krvácením nebo genetickou poruchou

–    Pediatrické pacienty nemusí vždy hlásit mírnou hemoptýzu, což zpožďuje diagnózu

–    Příčiny:

o   COPA syndrom: Monogenní autoimunitní porucha projevující se opakovaným alveolárním krvácením a intersticiálním plicním onemocněním u dětí.

o   Idiopatická plicní hemosideróza (IPH): Chronická příčina opakovaného alveolárního krvácení, vedoucí k ukládání železa, anémii a plicní fibróze

o   Opakované alveolární krvácení spojené s vaskulitidou, zejména u recidivujícího AAV.

Idiopatická plicní hemosideróza (IPH)

–   Vzácné pediatrické onemocnění charakterizované opakovanými difúzními alveolárními krváceními

–   Etiologie zůstává neznámá, ale některé případy jsou spojeny s autoimunitními procesy

–   Klinická triáda: opakovaná hemoptýza, anémie z nedostatku železa, difúzní plicní infiltráty

–   Diagnóza:

o   Vysokorozlišovací CT (HRCT): Ukazuje difúzní skleněné opacity a ukládání hemosiderinu

o   Bronchoalveolární laváž (BAL): přítomnost makrofágů obsahujících hemosiderin

o   Biopsie plic: užitečná v atypických případech

–   Léčba

o   První linie: Kortikosteroidy ke snížení zánětu

o   Imunosupresiva: Rituximab nebo azathioprin v refrakterních případech

o   Podpůrná léčba

COPA syndrom

–   Monogenní autoimunitní onemocnění způsobené mutacemi v genu COPA (autosomálně dominantní)

–   Klinický obraz: recidivující alveolární krvácení, intersticiální plicní onemocnění, artritida a postižení ledvin

–   Často se vyskytuje u dětí, příznaky se objevují již v kojeneckém věku

–   Diagnóza:

o   Genetické testování na mutace COPA.

o   HRCT: Ukazuje intersticiální plicní onemocnění a skleněné opacity

o   BAL: makrofágy obsahující hemosiderin

–   Léčba

o   První linie: Kortikosteroidy ke snížení zánětu

o   Imunosupresiva (rituximab, cyklofosfamid)

o   Biologické látky zaměřené na IL-6 nebo TNF-α

IgA vaskulitida (viz samostatná kapitola)

–   Nejčastější pediatrická vaskulitida, ale zřídka způsobuje plicní krvácení

Systémový lupus erythematodes a difúzní alveolární krvácení (viz samostatná kapitola)

–   Pediatrický SLE se často projevuje závažnějším postižením orgánů než SLE u dospělých.

–   Difúzní alveolární krvácení (DAH) je vzácné, ale život ohrožující.

–   Rizikové faktory:

o   Vysoká aktivita onemocnění (skóre SLEDAI).

o   Lupusová nefritida.

o   Přítomnost antifosfolipidových protilátek.

–   Diagnóza SLE:

o   ANA (titr ≥1:80) – nutné

o   Klinická kritéria (konstituční, hematologická, neuropsychiatrická, mukokutánní, serózní, muskuloskeletální, renální)

o   Imunologická kritéria

–    Diagnóza DAH:

o   HRCT: difúzní sklovité opacity a alveolární konsolidace.

o   BAL: Hemoragická tekutina s makrofágy obsahujícími hemosiderin

–    Léčba:

o   Vysoké dávky kortikosteroidů

o   Cyklofosfamid nebo rituximab

o   Plazmaferéza v závažných případech

ANCA-asociovaná vaskulitida u dětí (viz samostatná kapitola)

–   Zahrnuje granulomatózu s polyangiitidou (GPA), mikroskopickou polyangiitidu (MPA) a eozinofilní granulomatózu s polyangiitidou (EGPA)

–   Pediatrická AAV je agresivní a často se projevuje rychle progredující glomerulonefritidou (RPGN) a alveolárním krvácením

–   Diagnóza:

o   ANCA sérologie (PR3/MPO protilátky).

o   Renální biopsie: Ukazuje pauciimunní nekrotizující glomerulonefritidu

o   V případě potřeby plicní biopsie.

–   Léčba

o   Indukční terapie: kortikosteroidy + cyklofosfamid nebo rituximab.

o   Udržovací léčba: Azathioprin, mykofenolát mofetil (MMF) nebo rituximab

o   Plasmaferéza v závažných případech

Goodpastureův syndrom (GPS) u dětí

–   V pediatrii extrémně vzácný.

–   Způsobeno protilátkami proti glomerulární bazální membráně (GBM), které vedou k alveolárnímu krvácení a rychle progredující glomerulonefritidě

–   Diagnóza:

o   Testování protilátek proti GBM.

o   Renální biopsie.

–   Léčba

o   Plazmaferéza

o   Kortikosteroidy + cyklofosfamid.

Závěr

–   Pediatrická hemoptýza způsobená autoimunitními onemocněními je vzácná, ale život ohrožující.

–   Je třeba vyloučit častější příčiny hemoptýzy.

–   Plicní-renální syndromy (AAV, GPS, COPA, SLE) by měly být včas rozpoznány a agresivně léčeny

–   Včasná diagnóza a imunosupresivní terapie jsou klíčové pro zlepšení výsledků.

–   Budoucí směry zahrnují cílené biologické terapie a genetické screeningové vyšetření monogenních příčin, jako je COPA syndrom

Diferenciální diagnostika hemoptýzy u dětí:

–    Infekční příčiny

o   Bakteriální pneumonie (např. Staphylococcus aureus, Streptococcus pneumoniae, Klebsiella)

o   Tuberkulóza (TBC) – primární nebo reaktivovaná TBC

o   Plísňové infekce (např. aspergilóza, histoplazmóza, mukormykóza)

o   Virová pneumonie (např. chřipka, RSV, adenovirus)

o   Parazitární infekce (např. hydatidóza, paragonimóza v endemických oblastech)

–    Autoimunitní a vaskulitické příčiny

o   Primární systémová vaskulitida

▪   ANCA-asociovaná vaskulitida (granulomatóza s polyangiitidou, mikroskopická polyangiitida)

▪   IgA vaskulitida – vzácné postižení plic

o   Systémový lupus erythematodes (SLE) – difúzní alveolární krvácení, lupusová pneumonitida

o   Goodpastureův syndrom (anti-GBM onemocnění) – plicní krvácení a glomerulonefritida

o   Idiopatická plicní hemosideróza (IPH) – opakované alveolární krvácení bez systémového onemocnění

o   COPA syndrom – monogenní porucha s alveolárním krvácením, artritidou a onemocněním ledvin

–    Kardiovaskulární příčiny

o   Vrozená srdeční vada, plicní arteriovenózní malformace (AVM) – dědičná hemoragická telangiektázie (HHT), plicní hypertenze

–    Abnormality dýchacích cest a strukturální abnormality

o   Aspirace cizího tělesa, bronchiektázie, tracheobronchiální malformace, neoplazma (vzácné)

–    Trauma a iatrogenní příčiny

–    Hematologické a koagulační poruchy

o   Trombocytopenie, hemofilie, koagulopatie (např. syndromy diseminované intravaskulární koagulace)

–    Environmentální a toxické příčiny

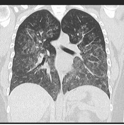
Difúzní alveolární krvácení v důsledku vaskulitidy

                                                     Zdroj: radiopaedia.org

Text připravila Nikol Husáková (nikol.husakova@vfn.cz) na základě následujících zdrojů:

  1. Laya BF, Concepcion NF. Hemoptysis in children: Imaging evaluation. Pediatr Radiol. 2007;37(12):1211–1223. doi:10.1007/s00247-007-0609-6
  2. Weiss PF. Pediatric vasculitis. Pediatr Clin North Am. 2012;59(2):407–423. doi:10.1016/j.pcl.2012.03.005
  3. Kitching AR, Anders HJ, Basu N, Brouwer E, Gordon J, Jayne DR, et al. ANCA-associated vasculitis. Nat Rev Dis Primers. 2020;6(1):71. doi:10.1038/s41572-020-0204-y
  4. Tanaka C, Benseler SM. Systemic lupus erythematosus in children and adolescents. Pediatr Clin North Am. 2017;64(2):339–361. doi:10.1016/j.pcl.2016.11.008
  5. Green RJ, Ruoss SJ, Kraft SA, Berry GJ, Raffin TA. Idiopathic pulmonary hemosiderosis in children: Diagnostic criteria, management, and outcome. Eur Respir J. 2001;17(3):496–501. doi:10.1183/09031936.01.17304960
  6. Griese M, Kabra SK, Tan HL. Pulmonary hemorrhage in children: Diagnostic workup and therapeutic approaches. Paediatr Respir Rev. 2011;12(3):231–238. doi:10.1016/j.prrv.2011.03.005

REGISTRACE

Připojte se k naší komunitě

a tvořte obsah

který pomáhá ostatním

Začněte vytvořením účtu

Vyberte svou roli:

Jsem

Reumatolog

Jsem

Zdravotnický pracovník

Jsem

Veřejný uživatel

Vítej, {user_name}!

Vytvářej obsah, který pomůže ostatním

Nahraj svůj příspěvek