Definicja
– Odkrztuszanie krwi z dolnych dróg oddechowych
– Rzadki, ale poważny objaw u pacjentów pediatrycznych
– Może mieć postać łagodnych, samoograniczających się epizodów lub zagrażającego życiu krwotoku płucnego wymagającego pilnej interwencji.
– Znacznie rzadszy niż u dorosłych
– Często wskazuje na poważne schorzenie podstawowe, w tym infekcje, wady wrodzone, malformacje naczyniowe lub choroby autoimmunologiczne
Krwioplucie w reumatologii dziecięcej
Ostra vs. przewlekła krwioplucie
Ostra krwioplucie
– Nagły początek, trwający zazwyczaj od kilku godzin do kilku dni
– Często związane z ostrym stanem zapalnym lub nagłym zaostrzeniem choroby podstawowej
– Częściej ma ciężki przebieg i szybko postępuje u dzieci, szczególnie w przypadku zespołów płucno-nerkowych
– Przyczyny:
o Rozlane krwawienie pęcherzykowe (DAH): ciężka postać tocznia rumieniowatego układowego (SLE), zapalenia naczyń związanego z ANCA (AAV) i zespołu Goodpasture’a (GPS)
o Zapalenie naczyń IgA (dawniej plamica Henocha-Schönleina): niezwykle rzadka przyczyna krwotoku płucnego, ale może być związana z ciężkim zajęciem nerek
o Ostre zaostrzenia zapalenia naczyń związanego z ANCA (AAV) lub zapalenia płuc wywołanego toczniem.
Przewlekła krwioplucie
– Utrzymująca się lub nawracająca plwocina z domieszką krwi trwająca od tygodni do miesięcy
– Najprawdopodobniej spowodowane przewlekłą chorobą zapalną płuc, nawracającym krwotokiem pęcherzykowym lub zaburzeniem genetycznym
– Pacjenci pediatryczni nie zawsze zgłaszają łagodną krwioplucie, co opóźnia diagnozę.
– Przyczyny:
o Zespół COPA: monogeniczne zaburzenie autoimmunologiczne objawiające się nawracającym krwotokiem pęcherzykowym i śródmiąższową chorobą płuc u dzieci.
o Idiopatyczna hemosyderoza płucna (IPH): przewlekła przyczyna nawracającego krwawienia pęcherzykowego, prowadząca do odkładania się żelaza, niedokrwistości i zwłóknienia płuc
o Nawracające krwawienia pęcherzykowe związane z zapaleniem naczyń, szczególnie w nawracającym AAV.
Idiopatyczna hemosyderoza płucna (IPH)
– Rzadka choroba pediatryczna charakteryzująca się nawracającym rozlanym krwotokiem pęcherzykowym
– Etiologia pozostaje nieznana, ale niektóre przypadki są związane z procesami autoimmunologicznymi
– Trójca kliniczna: nawracające krwioplucie, niedokrwistość z niedoboru żelaza, rozlane nacieki płucne
– Diagnoza:
o Tomografia komputerowa o wysokiej rozdzielczości (HRCT): wykazuje rozlane zmętnienia szkliste i złogi hemosyderyny
o Płukanie oskrzelowo-pęcherzykowe (BAL): obecność makrofagów zawierających hemosyderynę
o Biopsja płuc: pomocna w przypadkach nietypowych
– Leczenie
o Pierwsza linia: kortykosteroidy w celu zmniejszenia stanu zapalnego
o Leki immunosupresyjne: rytuksymab lub azatiopryna w przypadkach opornych na leczenie
o Leczenie wspomagające
Zespół COPA
– Monogeniczne zaburzenie autoimmunologiczne spowodowane mutacjami w genie COPA (autosomalne dominujące)
– Objawy kliniczne: nawracające krwawienia pęcherzykowe, śródmiąższowa choroba płuc, zapalenie stawów i zajęcie nerek
– Często występuje u dzieci, objawy pojawiają się już w okresie niemowlęcym
– Diagnoza:
o Badania genetyczne pod kątem mutacji COPA.
o HRCT: wykazuje śródmiąższową chorobę płuc i zmętnienia szklisto-matowe
o BAL: makrofagi wypełnione hemosyderyną
– Leczenie
o Pierwsza linia: kortykosteroidy w celu zmniejszenia stanu zapalnego
o Leki immunosupresyjne (rytuximab, cyklofosfamid)
o Środki biologiczne ukierunkowane na IL-6 lub TNF-α
Zapalenie naczyń IgA (patrz oddzielny rozdział)
– Najczęstsze zapalenie naczyń u dzieci, ale rzadko powoduje krwotok płucny
Toczeń rumieniowaty układowy i rozlane krwawienie pęcherzykowe (patrz oddzielny rozdział)
– Pediatryczny SLE często objawia się poważniejszym zajęciem narządów niż SLE u dorosłych.
– Rozlane krwawienie pęcherzykowe (DAH) występuje rzadko, ale stanowi zagrożenie dla życia.
– Czynniki ryzyka:
o Wysoka aktywność choroby (wynik SLEDAI).
o Toczeńowe zapalenie nerek.
o Obecność przeciwciał antyfosfolipidowych.
– Rozpoznanie SLE:
o ANA (miano ≥1:80) – wymagane
o Kryteria kliniczne (konstytucjonalne, hematologiczne, neuropsychiatryczne, śluzówkowo-skórne, surowicze, mięśniowo-szkieletowe, nerkowe)
o Kryteria immunologiczne
– Rozpoznanie DAH:
o HRCT: rozlane zmętnienia szklisto-matowe i konsolidacja pęcherzyków płucnych.
o BAL: płyn krwotoczny z makrofagami zawierającymi hemosyderynę
– Leczenie
o Wysokie dawki kortykosteroidów
o Cyklofosfamid lub rytuksymab
o Plazmafereza w ciężkich przypadkach
Zapalenie naczyń związane z ANCA u dzieci (patrz oddzielny rozdział)
– Obejmuje ziarniniakowatość z zapaleniem naczyń (GPA), mikroskopowe zapalenie naczyń (MPA) oraz eozynofilowe ziarniniakowatość z zapaleniem naczyń (EGPA)
– Pediatryczne AAV ma przebieg agresywny, często objawiający się szybko postępującym zapaleniem kłębuszków nerkowych (RPGN) i krwotokiem pęcherzykowym
– Diagnoza:
o Serologia ANCA (przeciwciała PR3/MPO).
o Biopsja nerki: wykazuje martwicze zapalenie kłębuszków nerkowych o niewielkiej aktywności immunologicznej
o W razie potrzeby biopsja płuc.
– Leczenie
o Leczenie indukcyjne: kortykosteroidy + cyklofosfamid lub rytuksymab.
o Leczenie podtrzymujące: azatiopryna, mykofenolan mofetylu (MMF) lub rytuksymab
o Plazmafereza w ciężkich przypadkach
Zespół Goodpasture’a (GPS) u dzieci
– Niezwykle rzadki w pediatrii.
– Wywoływany przez przeciwciała przeciwko błonie podstawnej kłębuszków nerkowych (GBM), prowadzący do krwotoku pęcherzykowego i szybko postępującego zapalenia kłębuszków nerkowych
– Diagnoza:
o Badanie przeciwciał anty-GBM.
o Biopsja nerki
– Leczenie
o Plazmafereza
o Kortykosteroidy + cyklofosfamid.
Wnioski
– Krwioplucie u dzieci spowodowane chorobami autoimmunologicznymi występuje rzadko, ale stanowi zagrożenie dla życia.
– Należy wykluczyć bardziej powszechne przyczyny krwioplucia.
– Należy niezwłocznie rozpoznać zespoły płucno-nerkowe (AAV, GPS, COPA, SLE) i podjąć agresywne leczenie.
– Wczesna diagnoza i terapia immunosupresyjna mają kluczowe znaczenie dla poprawy wyników leczenia.
– Kierunki dalszych działań obejmują ukierunkowane terapie biologiczne i badania genetyczne w kierunku przyczyn monogenicznych, takich jak zespół COPA.
Diagnostyka różnicowa krwioplucia u dzieci:
– Przyczyny zakaźne
o Bakteryjne zapalenie płuc (np. Staphylococcus aureus, Streptococcus pneumoniae, Klebsiella)
o Gruźlica (TB) – gruźlica pierwotna lub reaktywacyjna
o Zakażenia grzybicze (np. aspergiloza, histoplazmoza, mukormykoza)
o Wirusowe zapalenie płuc (np. grypa, RSV, adenowirus)
o Zakażenia pasożytnicze (np. bąblowica, paragonimoza w obszarach endemicznych)
– Przyczyny autoimmunologiczne i zapalne naczyń
o Pierwotne układowe zapalenie naczyń
▪ Zapalenie naczyń związane z ANCA (ziarniniakowatość z zapaleniem naczyń, mikroskopowe zapalenie naczyń)
▪ Zapalenie naczyń IgA – rzadkie zajęcie płuc
o Toczeń rumieniowaty układowy (SLE) – rozlane krwawienie pęcherzykowe, toczniowe zapalenie płuc
o Zespół Goodpasture’a (choroba anty-GBM) – krwotok płucny i kłębuszkowe zapalenie nerek
o Idiopatyczna hemosyderoza płucna (IPH) – nawracający krwotok pęcherzykowy bez choroby ogólnoustrojowej
o Zespół COPA – zaburzenie monogeniczne z krwotokiem pęcherzykowym, zapaleniem stawów i chorobą nerek
– Przyczyny sercowo-naczyniowe
o Wrodzone wady serca, malformacje tętniczo-żylne płuc (AVM) – dziedziczna teleangiektazja krwotoczna (HHT), nadciśnienie płucne
– Nieprawidłowości dróg oddechowych i strukturalne
o Aspiracja ciała obcego, rozstrzenie oskrzeli, wady rozwojowe tchawicy i oskrzeli, nowotwory (rzadko)
– Urazy i przyczyny jatrogenne
– Zaburzenia hematologiczne i krzepnięcia
o Trombocytopenia, hemofilia, koagulopatia (np. rozproszone zespoły krzepnięcia wewnątrznaczyniowego)
– Przyczyny środowiskowe i toksyczne
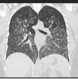
Rozlane krwawienie pęcherzykowe spowodowane zapaleniem naczyń

Źródło: radiopaedia.org
Tekst przygotowany przez Nikol Husáková (nikol.husakova@vfn.cz) na podstawie następujących źródeł:
- Laya BF, Concepcion NF. Krwioplucie u dzieci: ocena obrazowa. Pediatr Radiol. 2007;37(12):1211–1223. doi:10.1007/s00247-007-0609-6
- Weiss PF. Pediatryczne zapalenie naczyń. Pediatr Clin North Am. 2012;59(2):407–423. doi:10.1016/j.pcl.2012.03.005
- Kitching AR, Anders HJ, Basu N, Brouwer E, Gordon J, Jayne DR, et al. Zapalenie naczyń związane z ANCA. Nat Rev Dis Primers. 2020;6(1):71. doi:10.1038/s41572-020-0204-y
- Tanaka C, Benseler SM. Toczeń rumieniowaty układowy u dzieci i młodzieży. Pediatr Clin North Am. 2017;64(2):339–361. doi:10.1016/j.pcl.2016.11.008
- Green RJ, Ruoss SJ, Kraft SA, Berry GJ, Raffin TA. Idiopatyczna hemosyderoza płuc u dzieci: kryteria diagnostyczne, postępowanie i wyniki. Eur Respir J. 2001;17(3):496–501. doi:10.1183/09031936.01.17304960
- Griese M, Kabra SK, Tan HL. Krwotok płucny u dzieci: diagnostyka i podejście terapeutyczne. Paediatr Respir Rev. 2011;12(3):231–238. doi:10.1016/j.prrv.2011.03.005





