Definícia
– Vykašliavanie krvi z dolných dýchacích ciest
– Zriedkavý, ale závažný príznak u pediatrických pacientov
– Môže sa pohybovať od miernych, samolimitujúcich epizód až po život ohrozujúce pľúcne krvácanie vyžadujúce urgentný zásah.
– Omnoho menej časté ako u dospelých
– Často indikuje závažné základné ochorenie, vrátane infekcií, vrodených anomálií, cievnych malformácií alebo autoimunitných ochorení
Hemoptýza v detskej reumatológii
Akútna vs. chronická hemoptýza
Akútna hemoptýza
– Náhly nástup, zvyčajne trvá hodiny až dni
– Často súvisí s akútnym zápalom alebo náhlym zhoršením základného ochorenia
– U detí je pravdepodobnejšie, že bude závažná a rýchlo progredujúca, najmä pri pľúcno-obličkových syndrómoch
– Príčiny:
o Difúzna alveolárna hemorágia (DAH): Ťažký prejav systémového lupus erythematosus (SLE), ANCA-asociovanej vaskulitídy (AAV) a Goodpastureho syndrómu (GPS)
o IgA vaskulitída (predtým Henoch-Schönleinova purpura): Extrémne zriedkavá príčina pľúcneho krvácania, ale môže byť spojená s ťažkým postihnutím obličiek
o Akútne vzplanutia ANCA asociovanej vaskulitídy (AAV) alebo lupusovej pneumonitídy.
Chronická hemoptýza
– Trvalé alebo opakované vykašliavanie krvavého hlienu v priebehu týždňov až mesiacov
– S väčšou pravdepodobnosťou spôsobená chronickým zápalovým ochorením pľúc, opakovaným alveolárnym krvácaním alebo genetickou poruchou
– Pediatrickí pacienti nemusia vždy hlásiť miernu hemoptýzu, čo môže spôsobiť oneskorenie diagnózy.
– Príčiny:
o COPA syndróm: Monogénna autoimunitná porucha, ktorá sa prejavuje opakovaným alveolárnym krvácaním a intersticiálnym pľúcnym ochorením u detí.
o Idiopatická pľúcna hemosideróza (IPH): Chronická príčina opakovaného alveolárneho krvácania, vedúca k ukladaniu železa, anémii a pľúcnej fibróze
o Opakované alveolárne krvácanie spojené s vaskulitídou, najmä pri recidivujúcej AAV.
Idiopatická pľúcna hemosideróza (IPH)
– Zriedkavé pediatrické ochorenie charakterizované opakovaným difúznym alveolárnym krvácaním
– Etiológia zostáva neznáma, ale niektoré prípady sú spojené s autoimunitnými procesmi
– Klinická triáda: opakovaná hemoptýza, anémia z nedostatku železa, difúzne pľúcne infiltráty
– Diagnóza:
o Vysokorozlíšiteľná CT (HRCT): Ukazuje difúzne sklené opacity a ukladanie hemosiderínu
o Bronchoalveolárna laváž (BAL): prítomnosť makrofágov obsahujúcich hemosiderín
o Pľúcna biopsia: užitočná v atypických prípadoch
– Liečba:
o Prvá línia: Kortikosteroidy na zmiernenie zápalu
o Imunosupresíva: Rituximab alebo azatioprín v refraktérnych prípadoch
o Podporná liečba
COPA syndróm
– Monogénna autoimunitná porucha spôsobená mutáciami v géne COPA (autozomálne dominantná)
– Klinický obraz: opakované alveolárne krvácanie, intersticiálna pľúcna choroba, artritída a postihnutie obličiek
– Často sa vyskytuje u detí, príznaky sa objavujú už v ranom detstve
– Diagnóza:
o Genetické testovanie na mutácie COPA.
o HRCT: Ukazuje intersticiálne pľúcne ochorenie a matné skvrny
o BAL: makrofágy obsahujúce hemosiderín
– Liečba
o Prvá línia: Kortikosteroidy na zmiernenie zápalu
o Imunosupresíva (rituximab, cyklofosfamid)
o Biologické látky zamerané na IL-6 alebo TNF-α
IgA vaskulitída (pozri samostatnú kapitolu)
– Najčastejšia pediatrická vaskulitída, ale zriedka spôsobuje pľúcne krvácanie
Systémový lupus erythematosus a difúzna alveolárna hemorágia (pozri samostatnú kapitolu)
– Pediatrický SLE sa často prejavuje závažnejším postihnutím orgánov ako SLE u dospelých.
– Difúzne alveolárne krvácanie (DAH) je zriedkavé, ale život ohrozujúce.
– Rizikové faktory:
o Vysoká aktivita ochorenia (skóre SLEDAI).
o Lupusová nefritída.
o Prítomnosť antifosfolipidových protilátok.
– Diagnóza SLE:
o ANA (titr ≥1:80) – povinné
o Klinické kritériá (konštitučné, hematologické, neuropsychiatrické, mukokutánne, serózne, muskuloskeletálne, renálne)
o Imunologické kritériá
– Diagnóza DAH:
o HRCT: difúzne sklené opacity a alveolárna konsolidácia.
o BAL: Hemoragická tekutina s makrofágmi obsahujúcimi hemosiderín
– Liečba:
o Vysoké dávky kortikosteroidov
o Cyklofosfamid alebo rituximab
o Plazmaferéza v závažných prípadoch
ANCA-asociovaná vaskulitída u detí (pozri samostatnú kapitolu)
– Zahŕňa granulomatózu s polyangiitídou (GPA), mikroskopickú polyangiitídu (MPA) a eozinofilnú granulomatózu s polyangiitídou (EGPA)
– Pediatrická AAV je agresívna, často sa prejavuje rýchlo progredujúcou glomerulonefritídou (RPGN) a alveolárnym krvácaním
– Diagnóza:
o ANCA serológia (PR3/MPO protilátky).
o Renálna biopsia: Ukazuje pauciimúnnu nekrotizujúcu glomerulonefritídu
o V prípade potreby biopsia pľúc
– Liečba
o Indukčná terapia: Kortikosteroidy + cyklofosfamid alebo rituximab.
o Udržovacia terapia: Azatioprín, mykofenolát mofetil (MMF) alebo rituximab
o Plazmaferéza v závažných prípadoch
Goodpastureho syndróm (GPS) u detí
– V pediatrii sa vyskytuje veľmi zriedkavo.
– Spôsobený protilátkami proti glomerulárnej bazálnej membráne (GBM), čo vedie k alveolárnemu krvácaniu a rýchlo progredujúcej glomerulonefritíde
– Diagnóza:
o Testovanie protilátok proti GBM.
o Biopsia obličiek.
– Liečba:
o Plazmaferéza
o Kortikosteroidy + cyklofosfamid.
Záver
– Pediatrická hemoptýza spôsobená autoimunitnými ochoreniami je zriedkavá, ale život ohrozujúca.
– Je potrebné vylúčiť častejšie príčiny hemoptýzy.
– Pľúcno-obličkové syndrómy (AAV, GPS, COPA, SLE) by mali byť okamžite rozpoznané a agresívne liečené
– Včasná diagnóza a imunosupresívna terapia sú kľúčové pre zlepšenie výsledkov liečby.
– Budúce smerovanie zahŕňa cielené biologické terapie a genetické skríningové vyšetrenia na monogénne príčiny, ako je COPA syndróm
Diferenciálna diagnóza hemoptýzy u detí:
– Infekčné príčiny
o Bakteriálna pneumónia (napr. Staphylococcus aureus, Streptococcus pneumoniae, Klebsiella)
o Tuberkulóza (TBC) – primárna alebo reaktivovaná TBC
o Hubové infekcie (napr. aspergilóza, histoplazmóza, mukormykóza)
o Vírusová pneumónia (napr. chrípka, RSV, adenovírus)
o Parazitárne infekcie (napr. hydatidóza, paragonimóza v endemických oblastiach)
– Autoimunitné a vaskulitické príčiny
o Primárna systémová vaskulitída
▪ ANCA-asociovaná vaskulitída (granulomatóza s polyangiitídou, mikroskopická polyangiitída)
▪ IgA vaskulitída – zriedkavé postihnutie pľúc
o Systémový lupus erythematosus (SLE) – difúzna alveolárna hemorágia, lupusová pneumonitída
o Goodpastureho syndróm (anti-GBM ochorenie) – pľúcne krvácanie a glomerulonefritída
o Idiopatická pľúcna hemosideróza (IPH) – opakované alveolárne krvácanie bez systémového ochorenia
o COPA syndróm – monogénna porucha s alveolárnym krvácaním, artritídou a ochorením obličiek
– Kardiovaskulárne príčiny
o Vrodená srdcová choroba, pľúcne arteriovenózne malformácie (AVM) – dedičná hemoragická telangiektázia (HHT), pľúcna hypertenzia
– Abnormality dýchacích ciest a štruktúr
o Aspirácia cudzieho telesa, bronchiektázie, tracheobronchiálne malformácie, neoplazma (vzácne)
– Traumatické a iatrogénne príčiny
– Hematologické a koagulačné poruchy
o Trombocytopénia, hemofília, koagulopatia (napr. diseminované intravaskulárne koagulačné syndrómy)
– Environmentálne a toxické príčiny
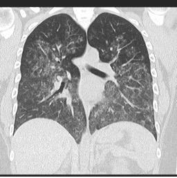
Difúzna alveolárna hemorágia spôsobená vaskulitídou

Zdroj: radiopaedia.org
Text pripravila Nikol Husáková (nikol.husakova@vfn.cz) na základe nasledujúcich zdrojov:
- Laya BF, Concepcion NF. Hemoptysis in children: Imaging evaluation. Pediatr Radiol. 2007;37(12):1211–1223. doi:10.1007/s00247-007-0609-6
- Weiss PF. Pediatric vasculitis. Pediatr Clin North Am. 2012;59(2):407–423. doi:10.1016/j.pcl.2012.03.005
- Kitching AR, Anders HJ, Basu N, Brouwer E, Gordon J, Jayne DR, et al. ANCA-associated vasculitis. Nat Rev Dis Primers. 2020;6(1):71. doi:10.1038/s41572-020-0204-y
- Tanaka C, Benseler SM. Systemic lupus erythematosus in children and adolescents. Pediatr Clin North Am. 2017;64(2):339–361. doi:10.1016/j.pcl.2016.11.008
- Green RJ, Ruoss SJ, Kraft SA, Berry GJ, Raffin TA. Idiopathic pulmonary hemosiderosis in children: Diagnostic criteria, management, and outcome. Eur Respir J. 2001;17(3):496–501. doi:10.1183/09031936.01.17304960
- Griese M, Kabra SK, Tan HL. Pulmonary hemorrhage in children: Diagnostic workup and therapeutic approaches. Paediatr Respir Rev. 2011;12(3):231–238. doi:10.1016/j.prrv.2011.03.005





