Придружите се нашој заједници и креирајте садржај који помаже другима
Хемоптиза

Дефиниција

–    Испливање крви из доњег респираторног тракта

–    Ретка али озбиљна манифестација код педијатријских пацијената

–    Може се кретати од благих, самоограничавајућих епизода до животно угрожавајућег плућног крварења које захтева хитну интервенцију.

–    Много ређе него код одраслих

–    често је показатељ озбиљног основног поремећаја, укључујући инфекције, урођене аномалије, васкуларне малформације или аутоимуне болести

Хемоптиза у педијатријској реуматологији

Акутна и хронична хемоптиза

Акутна хемоптиза

–    Нагло почиње, обично траје од неколико сати до неколико дана

–    Често је повезана са акутном упалом или изненадним погоршањем основне болести

–    Вероватније је да буде тешка и брзопрогресивна код деце, нарочито у пулмонално-бубрежним синдромима

–    Узроци:

o   Дифузна алвеоларна хеморагија (DAH): тешка манифестација системског лупуса еритематозуса (SLE), васкулитиса повезаног са ANCA (AAV) и Гудпастеревог синдрома (GPS)

o   Васкулитис изазван ИгА (раније Хенох-Шоенлејнова пурпура): изузетно редак узрок плућног крварења, али може бити праћен тешким оштећењем бубрега

o   Акутни погоршања васкулитиса повезаног са АНЦА (AAV) или плућне упале код лупуса.

Хронична хемоптиза

–    Перзистентна или понављајућа крвава пљувачка током недеља до месеци

–    Вероватније је узроковано хроничном упалном болешћу плућа, понављеним алвеоларним крварењем или генетским поремећајем

–    Деца можда не пријављују благу хемоптизу, чиме се одлаже дијагноза

–    Узроци:

o   Синдром COPA: моногени аутоимуни поремећај који се манифестује поновљеним алвеоларним крварењем и интерстицијалном болешћу плућа код деце.

o   Идиопатска пулмонална hemosideroza (IPH): Хронични узрок поновљених алвеоларних крварења, што доводи до нагомилавања гвожђа, анемије и пулмоналне фиброзе

o   Поновљено алвеоларно крварење повезано са васкулитисом, нарочито код релапсирајућег ААВ.

Идиопатска пулмонална hemosideroza (IPH)

–   Ретко педијатријско обољење карактерисано понављеним дифузним алвеоларним крварењем

–   Етиологија остаје непозната, али су неки случајеви повезани са аутоимуним процесима

–   Клиничка тријада: Понављена хемоптиза, анемија дефицита гвожђа, дифузне плућне инфилтрације

–   Дијагноза:

o   Високорезолуциона компјутерска томографија (ВРКТ): Приказује дифузне „ground-glass“ замућености и депозицију hemosiderina

o   Бронхоалвеоларна лаважа (БАЛ): Присуство макрофага натоварених хемосидерином

o   Биопсија плућа: Корисна у атипичним случајевима

–   Лечење:

o   Прва линија: Кортикостероиди за смањење упале

o   Имуносупресанти: ритуксимаб или азатиоприн у рефрактерним случајевима

o   Подржавајућа нега

Синдром COPA

–   Моногени аутоимуни поремећај изазван мутацијама у гену COPA (аутозомски доминантан)

–   Клиничка презентација: поновљено алвеоларно крварење, интерстицијална болест плућа, артритис и оштећење бубрега

–   Чест почетак у детињству, са симптомима који се јављају већ у дојенчадском узрасту

–   Дијагноза:

o   Генетско тестирање за мутације COPA гена.

o   HRCT: Приказује интерстицијалну болест плућа и „ground-glass“ замућења

o   BAL: макрофаги натоварени хемосидерином

–   Лечење:

o   Прва линија: Кортикостероиди за смањење упале

o   Имуносупресиви (ритуксимаб, циклофосфамид)

o   Биолошки агенси који циљају IL-6 или TNF-α

Васкулитис уз учешће ИгА (видети посебно поглавље)

–   Најчешћи педијатријски васкулитис, али ретко изазива плућно крварење

Системски лупус еритематозус и дифузно алвеоларно крварење (видети посебно поглавље)

–   Педијатријски СЛЕ се често манифестује са тежим оштећењем органа него СЛЕ који почиње у одраслом добу.

–   Дифузна алвеоларна хеморагија (DAH) је ретка, али угрожава живот.

–   Фактори ризика:

o   Висока активност болести (SLEDAI скор).

o   Лупусни нефритис.

o   Присуство антифосфолипидних антитела.

–   Дијагноза СЛЕ:

o   ANA (≥1:80 титар) – неопходно

o   Клинички критеријуми (конституционални, хематолошки, неуропсихијатријски, мукокожани, серозални, мишићно-коштани, бубрежни)

o   Имунолошки критеријуми

–    Дијагноза DAH:

o   HRCT: дифузне „ground-glass“ замућености и алвеоларна консолидација.

o   BAL: хеморагична течност са макрофагима оптерећеним хемосидерином

–    Лечење:

o   Кортикостероиди у високим дозама

o   Циклофосфамид или ритуксимаб

o   Плазмафереза у тешким случајевима

Васкулитис повезан са АНЦА код деце (погледати посебно поглавље)

–   Укључује грануломатозу са полиангитисом (GPA), микроскопски полиангитис (MPA) и еозинофилну грануломатозу са полиангитисом (EGPA)

–   Педијатријски ААВ је агресиван, често се манифестује брзопрогресивним гломерулонефритисом (RPGN) и алвеоларним крварењем

–   Дијагноза:

o   АНКА серологија (антитела на PR3/MPO).

o   Бубрежна биопсија: показује пауциимунски некротизујући гломерулонефритис

o   Биопсија плућа по потреби

–   Лечење:

o   Индукциона терапија: кортикостероиди + циклофосфамид или ритуксимаб.

o   Одржавање: азатиоприн, микофенолат мофетил (MMF) или ритуксимаб

o   Плазмафереза у тешким случајевима

Гуட்பасчеров синдром (GPS) код деце

–   Изузетно ретко у педијатрији.

–   Узроковано антителима против гломеруларне базалне мембране (GBM), што доводи до алвеоларног крварења и брзо прогресивног гломерулонефритиса

–   Дијагноза:

o   Тестирање на антитела против базалне мембране гломерула (GBM).

o   Бубрежна биопсија

–   Лечење:

o   Плазмафереза

o   Кортикостероиди + циклофосфамид.

Закључак

–   Педијатријска хемоптиза услед аутоимуних болести је ретка, али угрожава живот

–   Морају се искључити чешћи узроци хемоптизе

–   Пулмонално-бубрежни синдроми (AAV, GPS, COPA, SLE) треба да се благовремено препознају и агресивно лече

–   Рана дијагноза и имуносупресивна терапија су кључни за побољшање исхода.

–   Будући правци укључују циљане биолошке терапије и генетичко скринирање за моногене узроке као што је синдром COPA

Диференцијална дијагноза хемоптизе код деце:

–    Инфективни узрочници

o   Бактеријска пнеумонија (нпр. Staphylococcus aureus, Streptococcus pneumoniae, Klebsiella)

o   Туберкулоза (ТБ) – примарна или реактивација ТБ

o   Гљивичне инфекције (нпр. аспергилоза, хистоплазмоза, мукормајкоза)

o   Вирусна пнеумонија (нпр. грип, RSV, аденовирус)

o   Паразитске инфекције (нпр. хидатидна болест, парагонимијаза у ендемским подручјима)

–    Аутоимуни и васкулитички узроци

o   Примарни системски васкулитис

▪   Васкулитис повезан са ANCA (грануломатоза са полиангитисом, микроскопски полиангитис)

▪   Васкулитис са ИгА – ретка пулмонална укљученост

o   Системски лупус еритематозус (СЛЕ) – дифузна алвеоларна крварење, лупус пнеумонитис

o   Гуட்பасчеров синдром (анти-GBM болест) – плућно крварење и гломерулонефритис

o   Идиопатска пулмонална hemosideroza (IPH) – Понављено алвеоларно крварење без системске болести

o   Синдром COPA – моногени поремећај са алвеоларним крварењем, артритисом и бубрежном болешћу

–    Кардиоваскуларни узроци

o   Конгенитална срчана болест, пулмоналне артериовенозне малформације (AVM) – наследна хеморагична телеангиектазија (HHT), пулмонална хипертензија

–    Абнормалности дисајних путева и структуре

o   Аспирација страних тела, бронхоектазија, трахеобронхијалне малформације, неоплазма (ретка)

–    Траума и иатогени узроци

–    Хематолошки и коагулациони поремећаји

o   Тромбоцитопенија, хемофилија, коагулопатија (нпр. синдроми дисеминиране интраваскуларне коагулације)

–    Еколошки и токсични узроци

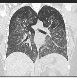
Дифузно алвеоларно крварење услед васкулитиса

                                                     Извор: radiopaedia.org

Текст припремила Никол Хусакова (nikol.husakova@vfn.cz), на основу следећих извора:

  1. Laya BF, Concepcion NF. Hemoptysis in children: Imaging evaluation. Pediatr Radiol. 2007;37(12):1211–1223. doi:10.1007/s00247-007-0609-6
  2. Weiss PF. Pediatric vasculitis. Pediatr Clin North Am. 2012;59(2):407–423. doi:10.1016/j.pcl.2012.03.005
  3. Kitching AR, Anders HJ, Basu N, Brouwer E, Gordon J, Jayne DR, et al. ANCA-associated vasculitis. Nat Rev Dis Primers. 2020;6(1):71. doi:10.1038/s41572-020-0204-y
  4. Tanaka C, Benseler SM. Systemic lupus erythematosus in children and adolescents. Pediatr Clin North Am. 2017;64(2):339–361. doi:10.1016/j.pcl.2016.11.008
  5. Green RJ, Ruoss SJ, Kraft SA, Berry GJ, Raffin TA. Idiopathic pulmonary hemosiderosis in children: Diagnostic criteria, management, and outcome. Eur Respir J. 2001;17(3):496–501. doi:10.1183/09031936.01.17304960
  6. Griese M, Kabra SK, Tan HL. Pulmonary hemorrhage in children: Diagnostic workup and therapeutic approaches. Paediatr Respir Rev. 2011;12(3):231–238. doi:10.1016/j.prrv.2011.03.005

РЕГИСТРАЦИЈА

Придружите се
нашој заједници

и креирајте садржај

који помаже другима

Почните креирањем налога

Изаберите своју улогу:

Jа сам

РЕУМАТОЛОГ

Jа сам

ЗДРАВСТВЕНИ РАДНИК

Jа сам

ЈАВНИ КОРИСНИК

Добродошао, {user_name}!

Направи садржај да помогнеш другима

Отпреми своју објаву